Marguerite McDonald, MD: "With LASIK, roughly half of my patients had dry eye complaints after surgery - and in about half of these, the symptoms were severe." RefractiveEyecare.com December 2005
Dry eye is the most common complication of LASIK. Virtually all patients experience dry eyes after LASIK. Six months after LASIK approximately 20% of patients in FDA-required clinical trials continue to report dry eyes. Other studies demonstrate that 30% to 50% of LASIK patients experience chronic dry eyes persisting beyond one year after surgery. The FDA warns that patients may develop "severe dry eye syndrome" which "may be permanent". Source When LASIK surgeons quote complication rates of 1% or less, they completely disregard this potentially debilitating complication.
Patients who suffer chronic dry eyes after LASIK should file a MedWatch report with the FDA online. Alternatively, you may call FDA at 1-800-FDA-1088 to report by telephone, download the paper form and either fax it to 1-800-FDA-0178 or mail it to the address shown at the bottom of page 3, or download the MedWatcher Mobile App for reporting LASIK problems to the FDA using a smart phone or tablet. Read a sample of LASIK injury reports currently on file with the FDA.
"Dry eye was defined as the simultaneous presence of symptoms and at least one sign. A Schirmer test score <5 mm, tear film breakup time <10 seconds, rose bengal staining >3, and fluorescein staining >1 were considered indicative of signs." Source: News in brief. EyeWorld. January 2019. Pg 72.
If you suffer from dry eyes or other complications after laser eye surgery, you are invited to join the discussion on FaceBook
Photos of severe post-LASIK dry eye courtesy of Dr. Edward Boshnick. Photos were taken through a slit lamp (bio-microscope) after applying fluorescein stain on the eye.
Global News 16x9 reports Daniel Mouflier's LASIK-induced dry eye hell - 2/4/2013
Every day, Daniel Mouflier is reminded of what he considers the biggest mistake of his life.
"Hell. It's been hell," he says. "I've had to re-learn how to live."
Daniel had laser eye surgery in July of 2011, and he has suffered from painfully dry eyes ever since.
LASIK patient, Joe Tye, on LASIK dry eye disease
The photo below-left shows the eye of a patient who had LASIK 4 years ago. The dark patches indicated by the red arrow are dry spots on the cornea. The white arrow points to the edge of the LASIK flap. The next photo shows the same eye 2 seconds later (without blinking), which demonstrates how quickly the tear film deteriorates on the eye. Click photos to enlarge.
The small punctate green spots or clumps of spots represent epithelial cells that are no longer present. The space that was once occupied by living tissue is in essence occupied by the dye that was instilled on the eye. The green-yellow circle around the periphery of the cornea is the LASIK flap edge, which is clearly visible in the left image on the 2nd row. It is staining green-yellow because the interface is still open, like a wound that never heals completely.

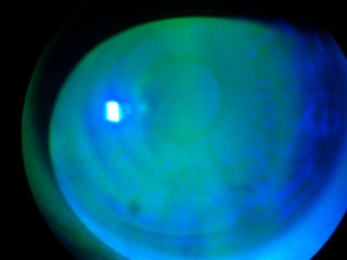
The eye below is the cornea of a patient who had LASIK in 2006. The areas that appear as dark spots are where the cornea is devoid of tears. The patient suffers from pain and blurred vision. (The white spot is a reflection of the microscope bulb.)
Tear film break up on a post-LASIK eye
This series of 4 photos shows the tear film "break up" on a post-LASIK eye. The first photo was taken immediately after the patient blinked. Note the eye is momentarily coated with a protective tear film. The second photo was taken 2 to 3 seconds after the blink. Dark blue marks are areas where the tear film has begun to break up, leaving the eye exposed to the environment. The third photo is after 5 seconds, and the last photo is after 7 to 8 seconds. (Note the LASIK flap margin in the photos.)
The photo below shows a cornea of a patient who had RK (radial keratotomy) fifteen years ago followed by LASIK nine years ago. The RK incisions are obvious in the picture. The red arrow points to the LASIK flap edge. Like RK incisions, the LASIK flap never heals completely. The yellow arrow points to staining of corneal epithelial cells which are no longer viable due to post-LASIK dry eye disease.
Frequency of dry eyes after LASIK
Toda I. LASIK and the ocular surface. Cornea. 2008 Sep;27 Suppl 1:S70-6.
"Dry eye is one of the most common complications after LASIK, affecting approximately 50% of patients at
1 week postoperatively, 40% at 1 month, and 20%–40% at 6 months. Although post-LASIK dry eye is usually
temporary, some patients complain of severe symptoms that may negatively influence their satisfaction with the outcome."
A 2007 review of the 12 lasers approved by the FDA for LASIK concludes:
"Approximately 20% of patients experienced dryness symptoms that were worse or significantly worse than preoperative dryness." (Six months post-op data).
Bailey MD, Zadnik K. Outcomes of LASIK for myopia with FDA-approved lasers. Cornea. 2007 Apr;26(3):246-54.
31.2% of patients in the Bausch & Lomb Zyoptix FDA clinical trial reported worse or significantly worse eye dryness six months after LASIK. Source (page 17)
27.6% of patients in the Mel 80 excimer laser FDA clinical trial reported worse eye dryness six months after LASIK.
Source (page 32)
Shoja MR, Besharati MR. Dry eye after LASIK for myopia: Incidence and risk factors. Eur J Ophthalmol. 2007 Jan-Feb;17(1):1-6:
"For the 190 eyes, chronic dry eye persisting 6 months or more after LASIK was diagnosed in 20 percent of the eyes."
In 2006, researchers from Baylor College of Medicine reported:
"Dry eye occurs commonly after LASIK surgery in patients with no history of dry eye... The incidence of dry eye gradually decreased over the observation period in both groups to a 36.36% overall incidence and a 41.18% incidence in the superior-hinge group at 6 months."
Am J Ophthalmol. 2006 Mar;141(3):438-45.
EuroTimes,Vol 13, Issue 5, May 2008
Walter Sekundo, MD: "While the majority of cases improved over time, 20 per cent of cases with dry eye persist for longer than six months after surgery." Link to article
Ophthalmology Management, September 2004
Eric Donnenfeld, MD: "Yu et al. reported that 60% of patients experienced dry eye at 1 month following LASIK, and Hovanesian et al. reported that 50% of patients experienced dry eye symptoms at 6 months." Link to article
Doctor states post-LASIK dry eye disease is not temporary
EyeWorld
Dry eye: A link with LASIK?
September 2005
From the article: Dr. Tseng and colleagues conducted a retrospective, year-long study of 17 patients (34 eyes), all but one of whom complained of persistent dry eye more than a year after receiving LASIK, but had been asymptomatic before their surgery... Dr. Tseng said he and his colleagues have thus concluded that dry eye following LASIK is not a transient complication. “It [is] persistent and long-standing [in] nature...” he said.
Rebecca Petris, founder of The Dry Eye Zone, "I am simply overwhelmed with the need".
At the FDA hearing in April, 2008, Rebecca Petris appeals to ophthalmic community to work with patient groups to find solutions for post-LASIK dry eyes.
Quality of life impact of dry eyes after LASIK
6/6/2008 PRK patient tells of suicide attempt on dry eye discussion board:
"I know from comments elsewhere that some of you don't understand how a person can get to this point, even given how relentless and awful the eye pain is and how numbing the sleep deprivation can make you...
I'm really hurting and I don't know how to get past this." Link
3/16/2008 LASIK patient takes his own life, leaves suicide note blaming LASIK:
"Dry eyes; cannot light a fire, cannot stand in front of air conditioning... Eye surgery has taken my life out of me. The pain - distorted vision... chronic dry eye... is not bearable!!!" Suicide note (pages 6 - 8). Related video
LASIK patient with burning dry eyes commits suicide:
From the article: "I didn't know his eyes were burning to the extent because of Lasik eye surgery or his ears were ringing." Therapist, Dr. Joel Rooney says that combination, for a man, at that age can be lethal... Now his family has his memories, and his writings, which have given them insight into his suffering. "He said it was like a cancer, like a terminal illness that you just couldn't get through and the pain was too much to overcome it he couldn't live that way anymore," says his brother. Source. Related video (beginning at 1:40)
In August, 2002, LASIK patient David Shell testified before the FDA Ophthalmic Devices Panel:
“My LASIK dry eye is not a minor problem, as downplayed by some ophthalmologists. It's a disability. I estimate that I am blind approximately 10 percent of the time due to my eyes being closed because of the pain. At the time of my surgery, I was told only a small number of patients experience a complication from this procedure. There is substantial evidence that shows this crippling side effect to be relatively common.”
Robert Latkany, M.D.:
"I have patients from around the world. They’re desperate and crying out for help,” he said. “It’s borderline scary. Numerous times I’ve heard people say they want to commit suicide. To the eye doctor, [dry eye] is just a nuisance [when], in fact, these patients are really suffering.” Source
Enough to Bring Tears to Your Eyes, by Judy Foreman
Dry eye syndrome “is often pooh-poohed because it doesn’t usually cause blindness,” says Dr. Janine Smith, deputy clinical director of the National Eye Institute in Bethesda, Md. But it can destroy quality of life. “You have to blink all the time. You can’t keep your eyes open. If you have a job, it’s hard to do it.”...“Dry eye doesn’t kill anybody, but it can drive some people to want to kill themselves,” adds Dr. Anthony Aldave, director of cornea and refractive surgery at the Jules Stein Eye Institute at UCLA. It can also make it impossible to wear contact lenses. Source
Personal experience of post-LASIK patient with dry eye:
"I am over two years (Dec 2000) post lasik and my eyes have been nothing but burning, red, bloodshot, irritated, and painful and I don’t know what to do. It seems the more drops I put in my eyes the more burning and irritated and painful they get." Read more
Living with LASIK by Maj. Erik J. Rupard, M.D. - April 21, 2008
I am a military physician currently serving in a Troop Medical Clinic in Iraq, where I take care of sick and wounded soldiers and marines. Although I have been an Active Duty member of the Army during the entire period of Operation Iraqi Freedom, and have volunteered for combat zone duties throughout that time, this is my first deployment. Prior to this time, I have been medically unable to deploy, due to severe dry eye syndrome which was brought on by LASIK surgery. More »
The photo below is the cornea of a female patient who underwent LASIK for high myopia in 2002. (The bright white spot is the reflection of the microscope light.) The flap margin is visible around the periphery of the cornea. The unusual pattern of circular-zig-zag lines represents a form of corneal dystrophy known as map-dot-fingerprint corneal dystrophy. These are microcysts and ridges within and beneath the corneal epithelium. Note, however, that the unusual pattern is not seen outside of the LASIK flap. The dark blue splotches and patches at the bottom of the photo represent areas of the cornea where the precorneal tear film is absent. The patient suffers from chronic dry eyes and is extremely far-sighted, requiring a strong eyeglasses prescription. She is currently wearing hard contact lenses that vault over the cornea and rest on the sclera (white of the eye). This patient must be monitored closely.
/post-lasik-map-dot-fingerprint-corneal-dystrophy.jpg)
Matt Young. Lenticule may beat LASIK in the dry eye arena. EyeWorld, February 2012.
From the article: Perhaps most importantly, he found that LASIK dry eye is a spectrum of disease states, which he divided into four categories: 1) neuropathic epitheliopathy, 2) tear fluid instability, 3) real aqueous tear deficiency due to nerve damage, 4) and neuropathic pain (phantom pain). Dr. Tuisku has found that most patients improve with respect to the first three categories of dry eye 6-12 months after LASIK. "But neuropathic pain is more complex," Dr. Tuisku said. Regeneration of nerves can take 5 years, and the nerves regenerate differently than before, leading to what Dr. Tuisku calls "aberrant nerve fibers." "As nerve fibers grow back into the flap, they branch out," Dr. Reinstein said. "There tend to be more nerve endings than originally—double or triple nerve endings. Now a breeze of wind across the eye will feel like three times the amount of breeze, causing a sensation that the eyes are very dry."
Excerpts from Peer-Reviewed Journal Articles
"The quality of life can be significantly affected by dry eye symptoms, as documented by several validated survey instruments. The psychological impact of this chronic condition is suggested by a utility assessment of patients' willingness to trade years at the end of life for an opportunity to be free of dry eye, which found that the utility of moderate dry eye was similar to that of moderate angina."
Source: Quinto GG, Camacho W, Behrens A. Postrefractive surgery dry eye. Curr Opin Ophthalmol. 2008 Jul;19(4):335-41.
"It is important to comprehend that these individuals may be suffering from “phantom eye pain,” which does not have a psychiatric or “central pain” etiology. The recent discussion of mental depression up to suicide after LASIK suggests that we need to pay more attention to the pain issue after this therapy and analyze whether this problem is associated with unrealistic expectations, poor results, or development of peripheral neuropathic pain."
Source: Tuisku I, Tervo T, Belmonte C. J Refract Surg. 2008;24:772.
Post-LASIK dry eye reported to the FDA:
Had laser eye surgery about 6 years ago at the [redacted by FDA]. I suffer from chronic dry eyes in which I need to use quality eye drops 10 times per day. I did not have even the slightest dry eyes prior to the procedure. Source
I had bilateral lasik for myopia and astigmatism, with surgery performed by one of the leading ophthalmologic surgeons in the nation. I was left with residual refractive error and astigmatism that has required continued use of eyeglasses. Far worse, the surgery created a severe dry eye condition that made most activities of daily life difficult and painful and that kept my corneal epithelium in a damaged state one doctor described as "tenuous. " the only solution that brought substantial relief was cautery of all four puncta. But because of repeated efforts with partial cautery, and because my fully cauterized puncta kept spontaneously opening, i eventually had to have all four puncta permanently closed with administration of cautery-suture-cautery. All told, i had twenty-eight cauterization procedures. This ordeal created eighteen months of chronic intense pain that triggered a severe and dangerous depression. Event today, more than six years later, my eyes are still sometimes painfully dry, and their capacity to heal after even minor injury is substantially impaired. Mfr name, city and state: it doesn't matter. All lasik surgeries damage corneas. You know that. Source
I had LASIK surgery on [redacted] 2010. The doctor explained to me that I would have dry eyes for up to 6 months after the procedure. It has now been about 18 months since the surgery, and I still have chronic dry eyes. I put lubricant eye drops in my eyes at least a few times a day. When I reported this to the doctor at my 12-month check-up, her response was that I've probably always had chronic dry eye and I just notice it more now. I have never had a problem with dry eyes until after this surgery. Source
I am writing to add to the growing reports of long term adverse effects post lasik eye surgery. In 2002, I had lasik... I am a neurologist and should probably known better but believed the consent process would be similar to that of operations carried out in the [redacted]. Whilst I accepted a small risk of visual aberration -halos etc- there was never at any time mention of a risk of permanent dry eyes. I suffered severe painful dry eye requiring punctal occlusion immediately post op which lasted for around 3 months. I had no preceding history of dry eye and no risk factors -male & otherwise well on no medications-... However, I have now had severe dry eye pain continuously for a year which has been devastating. I am in the medical profession and hence seen numerous ophthalmologists and tried all the usual treatments without any success -plugs/drops/compresses/omega-3/steroid drops etc-. The symptoms have ruined my quality of life at a time when I should be enjoying a new family and successful career. Instead I have become clinically depressed requiring high doses of anti-depressants -with no prior history of any depression- due to chronic -eye- pain. I have been near suicidal with the usual issues -guilt, anger, pain, despair- and cannot at present see how I can continue to function at work for very much longer... Read more
In 2001, I had LASIK, first on one eye and then on the other eye one week later, at a [redacted] clinic. I have struggled with dry eye ever since, ranging from mildly to severely annoying. Despite having tried punctal plugs, daily hot compresses, and doxycycline therapy, my meibomian glands have never returned to normal function. Of course, I have since learned this is considered a 'minor' LASIK 'side effect', most likely due to the permanent nerve damage wrought by the microkeratome -Hansatome- and excimer laser -VISX- devices your agency has approved for medically unnecessary purposes. Read more
"I have had 3 corneal erosions since then. I must put a thick gel in my eyes at night to keep them from drying out, resulting in another corneal erosion. I have tried drops, medicine -restasis-, supplements--all offer minimal relief. I have placed a humidifier in my house to try and further relieve the discomfort. While I do have 20/20 vision, I would gladly go back to wearing glasses in order to relieve this condition!" Source
I was told I was a candidate for lasik surgery - did not inform myself well enough - took my doctor's recommendation and had it done. I suffer daily, wake up in the middle of the night - can't hardly open my eyes. Its acutely painful. I go through bottles of artificial tears as drinking water. Many, many regrets. Source
"I had continued to go back to the facility that performed the surgery and have been given the following suggestions: none have made any difference. Directed to [use] every brand of "drops" on the market. Do not run any ceiling fans at home. Tape eyes shut at night. Do not go in the sun. Stop smoking. Restasis - used for 4 months and told to discontinue because they didn't help. Now i'm being told to go back on and that it would take up to 2 years for results. Punctal plugs were put in. Do not go in the wind or let any air blow in my eyes. Take fish oil pills. Take flax see oil pills. Limit my time on the computer. I work for a software company." Source
"I got lasik eye surgery in early 2006 - (that's not the exact date), I have no vision issues, thank god, but what I do have is permanent dry eye disorder. The dry eye disorder is hell at times, it's very painful and I get headaches, it is disabling because I have a lot of trouble working a full day, because the ventilation and wind hitting my eyes makes them very dry and then painful. It's always there and never goes away, it's permanent. I use drops all the time and have all four punctal plugs, plugged but they're still dry. When the headaches come it's disabling and interferes in my life. I just find it hard going on with a normal life with this dry eye disease, it never goes away. If I would have known this would happen, I wouldn't have gotten lasik at all, I would be much happier with my glasses." Source
"I had lasik performed on both eyes in 2005... I was handed my informed consent form with the words "read this, but don't let it scare you, this stuff never happens. " immediately following my surgery, I began having pain in both eyes due to severe dry eye... I have seen over 10 doctors, tried most conventional dry eye treatments, and spent thousands of dollars in the process trying to get relief from dry eye pain and discomfort... My dry eye symptoms have impacted all aspects of my life and affect me every waking hour. The first year after my surgery was complete torture. I suffered from severe depression and panic attacks due to the physical pain and guilt that I felt over having elected to have lasik. I never had a problem with anxiety or depression prior to my lasik outcome. A 15 minute procedure that was supposed to make my life easier, has now greatly decreased my quality of life and has complicated it more than I ever could have imagined. I will face a lifetime of eye pain and problems due to my lasik outcome." Source
"I had lasik surgery and it pretty much ruined my quality of life. I now suffer from extremely painful dry eye syndrome. I never even knew what dry eye syndrome meant before my lasik surgery. I thought complications were a very, very small percent and now I am reading that the dry eye complications are huge. I think this surgery is a crime against those of us who think it is a miracle, only to find out that our lives are ruined with pain afterwards." Source
***
Hundreds more reports of severe dry eye after LASIK can be viewed on the FDA website at this Link. In the product code field, enter LZS for laser-related injuries or HNO for microkeratome-related injuries. For Intralase (Intra-LASIK, iLASIK, blade-free LASIK, all-laser LASIK) type "IntraLase" in the Brand Name field. Use the date range feature to customize your search.
Report chronic dry eyes after LASIK to the FDA at this link: MedWatch
Look closely before you seek 20/20, By David Morrill 7/8/2008
From the article: Loyd Hunnell of Walnut Creek had one of the worst experiences. In 2005, Hunnell was having trouble with his eyes and decided to get Lasik surgery performed. What started out as an attempt to try and correct a mono-vision issue turned out to be a "living nightmare", he said. The procedure didn't go as planned and over the course of several years the pain was unbearable. At one point he says that it felt like acid being poured directly onto his eyes. Today, his issue is not nearly as bad as it once was, but it's still not ideal. "From minutes after I awaken until I close my eyes at night, I have stinging, burning, throbbing and ache, and sometimes foreign body sensations in my eyes," he said. "I have amassed a huge box of medication bottles relating to the surgery I had and its disastrous aftermath."
Dry eye sufferers shed many a tear - The San Diego Union-Tribune 10/4/2005
From the article: Phyllis Knapp of Kalamazoo, Mich., endures hours of a complicated daily regime to care for her dry eyes... Treatment for the malady, technically known as dry eye syndrome, includes drops, ointments, mists, duct plugs, eye compresses, lid scrubs, moisture-retaining glasses and nutritional supplements... Phyllis Knapp first felt it in early 2000, about a month after having LASIK surgery to correct her vision. "Something wasn't right," Knapp said. "My eyes burned all the time. The doctor just said I was still healing." But months and years later, her eyes kept getting drier. Now there are eroded areas on their surfaces. "Dry eye does a lot to impair your vision if it's severe, and mine is," she said.
Editor's note: I'm sorry to report that Phyllis Knapp passed away on April 28, 2013.
What causes dry eyes after LASIK?
The tear film consists of three layers--an outer, oily (lipid) layer that keeps tears from evaporating too quickly and helps tears remain on the eye; a middle (aqueous) layer that nourishes the cornea and conjunctiva; and a bottom (mucin) layer that helps to spread the aqueous layer across the eye to ensure that the eye remains wet. Source
Research points to corneal nerve damage as the most likely cause of dry eyes after LASIK. The nerves of the cornea that play a vital role in tear production are severed when the flap is cut and ablated by the laser. A 2004 Mayo Clinic study by Calvillo et al demonstrates that three years after LASIK the corneal nerves have not fully recovered.
Some researchers speculate that corneal nerve damage may also disrupt the reflexes controlling eyelid blinking and secretion of oils (meibum) from the eyelids, which control tear evaporation.
Other factors which may contribute to dry eyes after LASIK includes damage to the conjunctival goblet cells by the suction ring, which impairs the mucin layer of the tear film, and central corneal flattening after LASIK, resulting in insufficient tear wetting and clearance as the eyelids move across the altered corneal surface.
Read related topic: Post-LASIK corneal neuropathy
Abstracts of medical studies regarding post-LASIK dry eye:
Evaluation of tear film stability before and after laser in situ keratomileusis.
Nepal J Ophthalmol. 2011 Jul;3(6):140-5.
Shrestha GS, Wagh S, Darak A.
Objective: The study was conducted to evaluate tear film stability and tear secretion before and after laser in situ keratomileusis.
Materials and methods: It was a prospective, longitudinal and non-comparative analysis of clinical data of 20 consecutive myopic patients (40 eyes) collected before and after laser in situ keratomileusis. Assessments included tear secretion (Schirmer I and II), fluorescein tear break up time and ocular surface staining.
Statistics: The statistical package for social science (SPSS 10.0) was used for data analysis. The parameters of tear secretion and tear stability were analyzed using the paired and unpaired Student t-tests.
Results: Schirmer II was reduced at seven days (9.5 ± 4.30 mm) and one month (10.3 ± 3.06 mm, p=0.001) after operation from the pre-operative value of 16.12 ± 3.90 mm. Tear film stability significantly decreased at seven days (6.79 ± 3.05 sec, p Less than 0.001) and one month (8.03 ± 2.81secs, p less than 0.001) from its pre-operative value (12.68 ± 2.69 secs). 87.5% had tear film instability (FBUT less than 10secs) seven days after surgery; it was reduced to 75 % at one month and 27.5 % at three months. It was 7.5 % before surgery. Corneal staining score was increased significantly at seven days (1.42 ± 1. 58, p less than 0.01) and one month (0.95 ± 1.41, p=0.02), from the pre-operative score of 0.17 ± 0.44.
Conclusion: Laser in situ keratomileusis significantly alters the tear film stability, Schirmer values and corneal staining at least for three months.
Postrefractive surgery dry eye.
Curr Opin Ophthalmol. 2008 Jul;19(4):335-41.
Quinto GG, Camacho W, Behrens A.
The Wilmer Ophthalmological Institute, The Johns Hopkins University School of Medicine, Baltimore, Maryland 21287-0005, USA.
PURPOSE OF REVIEW: To report the recently published literature on ocular surface changes after refractive surgery, as well as the outcomes of treatment modalities on postrefractive surgery dry eye.
RECENT FINDINGS: Cyclosporine, the first US Food and Drug Administration approved agent to treat the underlying pathological mechanism of chronic dry eye, has demonstrated promising results in dry eye patients. Further, there may be an additive effect of topical cyclosporine and punctal occlusion. Femtosecond lasers for corneal flaps in laser in-situ keratomileusis seem to induce fewer signs and symptoms of dry eye and may be attributed to the creation of thinner flaps.
SUMMARY: Dry eye is one of the most common complications after photorefractive keratectomy and laser in-situ keratomileusis. Keratorefractive surgery is known to cause damage to the corneal sensory nerves. Several studies have demonstrated a decrease in corneal sensation, tear secretion, and tear film stability several months after keratorefractive surgery. For patients with preoperative dry eye, the ocular surface must be treated accordingly prior to surgery.
Effect of Punctal Plugs in Patients With Low Refractive Errors Considering Refractive Surgery
Journal of Refractive Surgery Vol. 23 No. 5 May 2007
Monica B. Khalil, MD; Robert A. Latkany, MD; Mark G. Speaker, MD, PhD; Guopei Yu, MD, MPH
Dry eye syndrome is documented as one of the most common complications after LASIK surgery, with incidence reported as high as 59% at 1 month postoperatively. Patient dissatisfaction after LASIK due to dry eye has been reported in 30% of cases. It is generally thought that all patients experience temporary mild dry eye after refractive surgery. Fifteen percent of patients experience moderate dry eye lasting approximately 3 months postoperatively, whereas 5% have chronic severe dry eye that endures for >/=6 months. This may be secondary to multiple factors, including decreased corneal sensation due to severing of corneal nerves, which leads to decreased tear production. Patient symptoms associated with this condition include irritation, photophobia, foreign body sensation, and decreased visual acuity.
Dry eye after LASIK for myopia: Incidence and risk factors.
Eur J Ophthalmol. 2007 Jan-Feb;17(1):1-6.
Shoja MR, Besharati MR.
PURPOSE: Patients frequently experience dry eye symptoms after laser-assisted in situ keratomileusis (LASIK). The purpose of this study was to determine the incidence and risk factors of dry eye after myopic LASIK.
METHODS: In this retrospective case series 190 eyes that underwent LASIK were examined for a dry eye syndrome. All patents were asymptomatic for dry eyes before surgery. Assessments included subjective complaints of dry eye, tear break-up time (TBUT), corneal staining, corneal sensitivity test, and Schirmer I test. All values were compared before and at 1 week and 1.3 and 6 months after surgery.
RESULTS: For the 190 eyes, chronic dry eye persisting 6 months or more after LASIK was diagnosed in 20 percent of the eyes. Mean patient age was 31 +/- 8 years. The risk for chronic dry eye was significantly associated with higher attempted refractive correction, greater ablation depth, and female sex (p=0.001). Subjective score for dryness was increased after LASIK. The greatest change from preoperative levels for all parameters was noted at 1 week. There were obvious decreases in TBUT and Schirmer value at 1, 3, and 6 months postoperatively relative to preoperative level (p<0.05). The Schirmer I test result was higher at 1 day but without statistical significance (p>0.05), but lower at 1 week and 3 and 6 months (p<0.05) after LASIK. Corneal sensitivity was decreased at 1 month and 3 months, and returned to the preoperative level at 6 months after LASIK. There was a statistically significant effect of age, sex, and mean spherical equivalent refraction on corneal sensitivity (p<0.001).
CONCLUSIONS: Patients undergoing LASIK for myopia develop dry eye with compromised tear function at least 6 months after surgery. Women and patients requiring higher refractive correction have an increased risk for developing dry eye.
Corneal reinnervation after LASIK: prospective 3-year longitudinal study.
Invest Ophthalmol Vis Sci. 2004 Nov;45(11):3991-6.
Calvillo MP, McLaren JW, Hodge DO, Bourne WM.
Department of Ophthalmology, Mayo Clinic College of Medicine, Rochester, MN 55905, USA.
PURPOSE: To measure the return of innervation to the cornea during 3 years after LASIK.
METHODS: Seventeen corneas of 11 patients who had undergone LASIK to correct myopia from -2.0 D to -11.0 D were examined by confocal microscopy before surgery, and at 1, 3, 6, 12, 24, and 36 months after surgery. In all available scans, the number of nerve fiber bundles and their density (visible length of nerve per frame area), orientation (mean angle), and depth in the cornea were measured.
RESULTS: The number and density of subbasal nerves decreased >90% in the first month after LASIK. By 6 months these nerves began to recover, and by 2 years they reached densities not significantly different from those before LASIK. Between 2 and 3 years they decreased again, so that at 3 years the numbers remained <60% of the pre-LASIK numbers (P <0.001). In the stromal flap most nerve fiber bundles were also lost after LASIK, and these began recovering by the third month, but by the third year they did not reach their original numbers (P <0.001). In the stromal bed (posterior to the LASIK flap interface), there were no significant changes in nerve number or density. As the subbasal nerves returned, their mean orientation did not change from the predominantly vertical orientation before LASIK. Nerve orientation in the stromal flap and the stromal bed also did not change.
CONCLUSIONS: Both subbasal and stromal corneal nerves in LASIK flaps recover slowly and do not return to preoperative densities by 3 years after LASIK. The numbers of subbasal nerves appear to decrease between 2 and 3 years after LASIK. The orientation of the regenerated subbasal nerves remains predominantly vertical.
Change to corneal morphology after refractive surgery (myopic laser in situ keratomileusis) as viewed with a confocal microscope.
Optom Vis Sci. 2003 Oct;80(10):690-7.
Perez-Gomez I, Efron N.
Department of Optometry and Neuroscience, UMIST, Manchester, United Kingdom. i.perez-gomez@umist.ac.uk
PURPOSE: This study aimed to look at morphological changes induced by myopic laser in situ keratomileusis (LASIK) in the human cornea using the confocal microscope and to investigate the link between these changes and alterations to corneal sensitivity.
METHODS: An in vivo slit-scanning real-time confocal microscope (Tomey ConfoScan P4, Erlangen, Germany) fitted with an Achroplan 40x/0.75 NA immersion objective and a Cochet-Bonnet esthesiometer were used to examine the morphology and sensitivity of the central corneas of six subjects (12 eyes) at an initial visit (before surgery), and at 1 week, 1 month, 3 months, and 6 months after LASIK for myopia.
RESULTS: Keratocyte density anterior to the flap interface showed differences between visits (p < 0.0001) and was found to be lower than at the initial visit at 1 week, 1 month, 3 months, and 6 months. Microfolds were noted at the level of the anterior limiting membrane in 11 of 12 eyes after surgery at all visits. Highly reflective flap interface particles were seen in all eyes at all visits after surgery. The subepithelial nerve fiber layer was clearly visible before surgery but could not be imaged in any of the eyes after surgery. Short, unconnected nerve fibers were observed 3 months after surgery; these appeared to form anastomosing interconnections after 6 months. Postsurgical corneal sensitivity was reduced during the first 3 months and recovered to presurgical levels after 6 months.
CONCLUSION: LASIK showed a decrease in anterior keratocyte density and microfolds in the anterior limiting membrane, and reflective particles were observed at the flap interface. Corneal sensitivity was depressed during the first 6 months after LASIK surgery; this time course paralleled the appearance of nerve regeneration during this period. Confocal microscopy is capable of providing interesting new insights into the effects of refractive surgery on corneal morphology.
The incidence and risk factors for developing dry eye after myopic LASIK.
Am J Ophthalmol. 2006 Mar;141(3):438-45.
De Paiva CS, Chen Z, Koch DD, Hamill MB, Manuel FK, Hassan SS, Wilhelmus KR, Pflugfelder SC.
Department of Ophthalmology, Cullen Eye Institute, Baylor College of Medicine, 6565 Fannin Street, NC 205, Houston, TX 77030, USA.
PURPOSE: To determine the incidence of dry eye and its risk factors after myopic laser-assisted in situ keratomileusis (LASIK).
DESIGN: Single-center, prospective randomized clinical trial of 35 adult patients, aged 24 to 54 years, with myopia undergoing LASIK.
METHODS: setting and study population: Participants were randomized to undergo LASIK with a superior or a nasal hinge flap. They were evaluated at 1 week and 1, 3, and 6 months after surgery. intervention: Bilateral LASIK with either a superior-hinge Hansatome microkeratome (n = 17) or a nasal-hinge Amadeus microkeratome (n = 18). main outcome measures: The criterion for dry eye was a total corneal fluorescein staining score > or =3. Visual acuity, ocular surface parameters, and corneal sensitivity were also analyzed. Cox proportional-hazard regression was used to assess rate ratios (RRs) with 95% confidence intervals.
RESULTS: The incidence of dry eye in the nasal- and superior-hinge group was eight (47.06%) of 17 and nine (52.94%) of 17 at 1 week, seven (38.89%) of 18 and seven (41.18%) of 17 at 1 month, four (25%) of 16 and three (17.65%) of 17 at 3 months, and two (12.50%) of 16 and six (35.29%) of 17 at 6 months, respectively. Dry eye was associated with level of preoperative myopia (RR 0.88/each diopter, P = .04), laser-calculated ablation depth (RR 1.01/microm, P = 0.01), and combined ablation depth and flap thickness (RR 1.01/microm, P = 0.01).
CONCLUSIONS: Dry eye occurs commonly after LASIK surgery in patients with no history of dry eye. The risk of developing dry eye is correlated with the degree of preoperative myopia and the depth of laser treatment.
Excerpts from the full text:
"The incidence of dry eye for the nasal-hinge group was zero (0%) of 18 at baseline, eight (47.06%) of 17 at 1 week, five (27.78%) of 18 at 1 month, four (25%) of 16 at 3 months, and five (31.25%) of 16 at 6 months. The incidence in eyes with superior hinge flap was zero (0%) of 17, nine (52.94%) of 17, four (23.53%) of 17, four (23.53%) of 17, and seven (41.18%) of 17 at baseline, 1 week, 1 month, 3 months, and 6 months, respectively."
"The incidence of dry eye gradually decreased over the observation period in both groups to a 36.36% overall incidence and a 41.18% incidence in the superior-hinge group at 6 months."
"On the basis of these findings, patients should be counseled about the risk of developing dry eye after LASIK..."
"Dry eye occurs commonly after laser-assisted in situ keratomileusis (LASIK) surgery in patients with no history of dry eye."
Reinnervation in the cornea after LASIK.
Invest Ophthalmol Vis Sci. 2002 Dec;43(12):3660-4.
Lee BH, McLaren JW, Erie JC, Hodge DO, Bourne WM.
Department of Ophthalmology, Mayo Clinic, Rochester, Minnesota, USA.
PURPOSE: Nerve fibers in the cornea are disrupted by photorefractive procedures. In this study, the denervation and reinnervation of human central corneas were evaluated by sequential, quantitative measurements of nerves viewed by confocal microscopy in vivo during the first year after LASIK.
METHODS: Seventeen eyes were studied of 11 patients who had undergone LASIK to correct myopia from -2.0 D to -11.0 D. Eyes were treated with an excimer laser with a planned 180- micro m flap. Central corneas were scanned throughout their full thicknesses by confocal microscopy before and at 1 week and 1, 3, 6, and 12 months after LASIK. Nerve fiber bundles appeared as bright, well-defined, linear structures that were sometimes branched and usually appeared in several consecutive frames. The number of nerve fiber bundles per scan in two to eight scans per eye per visit was determined in the subbasal region, the full-thickness stroma, the stromal flap (layer between the most anterior keratocyte and the flap interface), and the stromal bed (layer between the flap interface and the endothelium).
RESULTS: In the subbasal region, the number of nerve fiber bundles decreased by more than 90% 1 week after LASIK and was significantly lower at all times after surgery than it was before surgery (P < 0.001). It increased 6 and 12 months after LASIK, but remained less than half of the preoperative value. In the stromal flap, the number of nerves at all times after surgery was also significantly less than before surgery (P < 0.001) and did not increase significantly by 1 year. In the stromal bed, there were no significant differences among any of the nerve measurements before and after LASIK (P = 0.24).
CONCLUSIONS: In the corneal flap, the number of subbasal and stromal nerve fiber bundles decreases by 90% immediately after LASIK. During the first year after LASIK, subbasal nerve fiber bundles gradually return, although by 1 year their number remains less than half of that before LASIK.
Disclaimer: The information contained on this web site is presented for the purpose of warning people about LASIK complications prior to surgery. LASIK patients experiencing problems should seek the advice of a physician.